«تقنيات جينومية» لفهم أعمق لسرطان الجلد العدواني

7

لعلاج ورم خبيث يرتبط بندبات الحروق والجروح المزمنة

في دراسة حديثة بجامعة كالغاري الكندية، استخدم الباحثون تقنيات جينومية متقدمة لفهم أعمق لـ«قرحة مارجولين»، وهو نوع نادر وشديد العدوانية من سرطان الجلد يظهر في الجروح المزمنة.

وغالباً ما تتكون «قرحة مارجولين» بسبب الندوب الناتجة عن الحروق الشديدة، كما أن خطر الإصابة بها يزداد مع تقدم العمر عند وجود جرح مزمن. ولذا؛ فقد تساعد معرفة المزيد حول التفاعلات الخلوية في الجرح على إيجاد علاجات منقذة للحياة.

خرائط جينية وتفاعلات خلوية للأورام

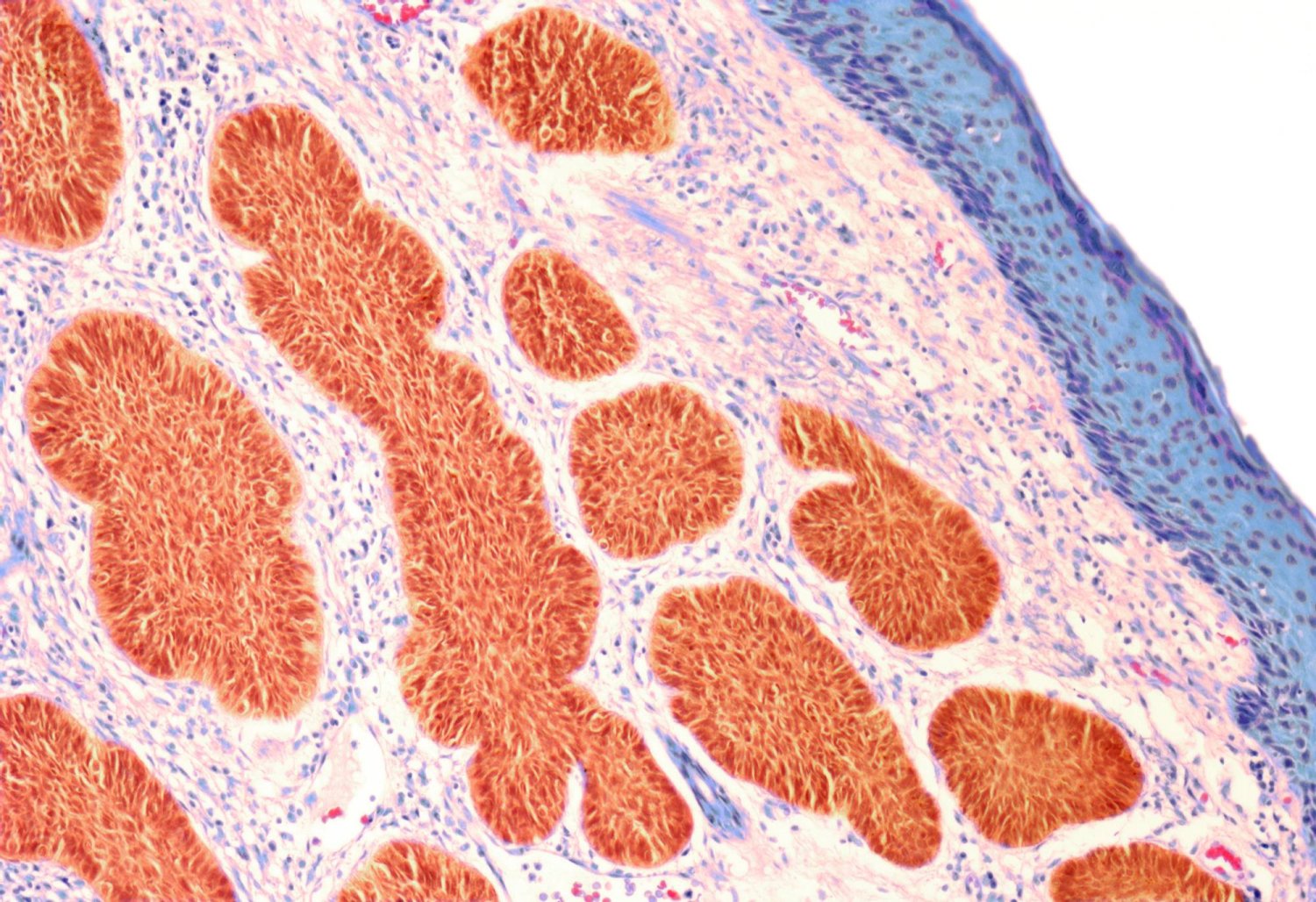
وقد أجرى فريق البحث تحليلاً دقيقاً خليةً بخلية لفهم أفضل لكيفية نمو أورام «قرحة مارجولين (MU) Marjolin’s ulcer»، ثم رسموا خرائط دقيقة للتعبير الجيني والتفاعلات الخلوية داخل الورم، وذلك باستخدام كل من «تسلسل الحمض النووي الريبي أحادي الخلية (RNA)» و«النسخ المكاني (spatial transcriptomics)»، وهو طريقة لتحديد أنواع الخلايا تُمكّن من رسم خرائط النسخ بدقةِ خليةٍ واحدة أو قريبة من خلية واحدة.

ومن خلال هذا المنظور المحسن، تمكن الباحثون من تتبع كيفية تغيير نوع فرعي صغير من «خلايا الجلد الكيراتينية (keratinocytes)» – وهي النوع الأساسي من الخلايا الموجودة في البشرة، وهي الطبقة الخارجية من الجلد لدى البشر، وتشكل 90 في المائة من خلايا البشرة الجلدية – وظيفته للبدء في التصرف مثل نوع من الخلايا الداعمة أي «الخلايا الليفية» التي تخلق الظروف التي تشجع الخلايا السرطانية على النمو.

و«الخلايا الليفية (fibroblast)» هي نوع من الخلايا البيولوجية تنتج الإطار الهيكلي للأنسجة الحيوانية وتلعب دوراً حاسماً في التئام الجروح.

«قرحة مارجولين»

من المعروف أن نسبة تصل إلى اثنين في المائة من آفات ندبات الحروق المزمنة يمكن أن تتحول إلى أورام خبيثة. وتوصف «قرحة مارجولين» بالتنكس الخبيث العدواني في أي جرح مزمن، ولا يمكن تشخيصها بسهولة، مع معدل وفيات بنسبة 21 في المائة.

وقد أظهرت دراسات متعددة أنه يمكن الوقاية من القرحة من خلال المراقبة المبكرة للجروح، والتقييم في الوقت المناسب لأي تغيرات في الجرح عن طريق الخزعات. ومن الضروري أن يكون مقدمو الرعاية للجروح على دراية بعلامات وأعراض التنكس الخبيث في الجروح المزمنة، وهذا بدوره سيسمح بتشخيص أسرع والتدخل قبل انتشاره، مما يحسن نتائج المرضى.

تغيير وظيفي لخلايا الجلد

وكما يبدو، فإن «الخلايا الكيراتينية السرطانية» تخضع لـ«تغيير وظيفي»؛ حيث تتحول من دورها الأصلي بصفتها «خلايا جلدية خارجية»، إلى تبني خصائص جديدة تشبه «الخلايا الليفية الجلدية» وهي الخلايا الداعمة الموجودة في عمق الجلد. وكما يوضح سارثاك سينها، الباحث في كلية الطب البيطري بجامعة كالغاري والمؤلف الرئيسي للدراسة، التي نُشرت بمجلة «Journal of Investigative Dermatolog» في 9 أغسطس (آب) 2024، فإن هذا التحول يسمح أيضاً لـ«الخلايا الكيراتينية السرطانية» ببدء إنتاج نوع من النسيج الغشائي يتكون من جزيئات كبيرة ومعادن خارج الخلية توفر الدعم الهيكلي والكيميائي الحيوي للخلايا المحيطة التي تشبه تلك الموجودة في الجلد النامي.

ويعمل هذا النسيج الجديد بشكل أساسي مثل التربة الخصبة، مما يخلق البيئة المثالية للخلايا السرطانية مثلها مثل البذور التي تتجذر وتنمو بقوة وتنتشر إلى الهياكل القريبة، حيث إن هذا التفاعل بين «البذرة» و«التربة» هو الذي قد يدفع بالسلوك الغازي للورم. وقد تلعب هذه العملية دوراً ليس فقط في «قرحة مارجولين»، ولكن أيضاً في سرطانات الجلد الأخرى، مما يساهم في نتائج سيئة للمرضى.

علاجات واعدة

يقول الدكتور فينسنت غابرييل، المدير الطبي لـ«مركز علاج الحروق» التابع لمؤسسة الإطفاء في كالغاري والمؤلف المشارك في الدراسة، إن معرفة كيفية بدء هذه الأورام و«تفاقمها» قد تساعد أيضاً في تحديد العلاجات المحتملة لمحاولة منع الورم من الانتشار.

ويضيف أن هذه الدراسة تحدد الفرص لاستهداف العملية التي تؤدي إلى «سرطان مارجولين» نفسه، فقد يحد الجمع بين الاستئصال الجراحي والتدخل الطبي من تأثير هذه الأورام العدوانية. وقد تتيح العلاجات الناجحة إنقاذ أولئك الذين قد يكونون عرضة بشكل كبير لهذه السرطانات، خصوصاً أن تشخيص «قرحة مارجولين» قد يكون صعباً؛ لأن خزعة الجرح قد لا تكشف عن جميع الخلايا السرطانية بسبب عدم تجانسها داخل الجرح.

التعليقات معطلة.