سجل أطباء إيرلنديون واحدة من أكثر الحالات النادرة في العالم، لرجل بلغ 84 من عمره ولا يملك جزءا هاما من دماغه.
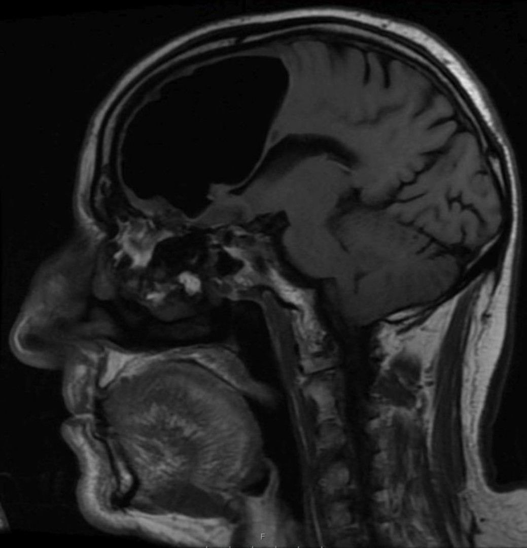
واكتشف الأطباء وجود “تجويف هوائي” يبلغ طوله 10 سنتيمترات في النصف الأيمن من دماغ رجل مسن نقل إلى المستشفى عقب شعوره بالدوار وسقوطه على الأرض، بعد أن تبددت شكوكهم بإصابته بسكتة دماغية.
وبينت نتائج التصوير بالرنين المغناطيسي لدماغ الرجل المسن، وجود ما يسمى بالفتق الهوائي وهو ما يلاحظ عادة لدى المرضى الذين يعانون من إصابات في أجزاء معيّنة من الجسم والأعضاء الداخلية.

